診療メニュー別 WEB予約
ご希望の診療内容を選んで、空き状況をご確認ください。
歯並びのご相談の方
クリーニングをご希望の方
歯科健診をご希望の方
歯科健診票をお持ちの方(無料)
ホワイトニングをご希望の方(初回)
インプラント治療のご相談の方
こんなお悩みありませんか?

どの歯科医を選べば良いかわからない…
インプラント後も歯のことを相談したい…
結局いくらかかるかわからない…
実績のある先生にお願いしたい…
そのお悩み放置していると…
隣の歯が傾く
歯科治療に影響が出る
噛みあう相手の歯が伸びる
脳への刺激が減る
噛み合わせが乱れる
胃腸への負担が増す
咀嚼や発音がしにくくなる
-
01隣の歯が傾く
歯並びをきれいに保つためには、隣同士の歯がしっかりと接触し、互いに支え合っていることが重要です。
しかし、もし隣の歯が抜けてしまうと、そのバランスが崩れてしまいます。
抜けた部分に隣接する歯が倒れ込むことで歯並びが乱れ、見た目だけでなく、
食べ物が詰まりやすくなったり、プラークがたまりやすくなるなど、衛生面にも悪影響を及ぼします。
-
02噛みあう相手の歯が伸びる
上下の歯が噛み合う「対合歯」は、噛み合わせのバランスを保つうえで欠かせない存在です。
これらの歯がしっかり接触することで、歯並び全体の調和が維持されています。
しかし、対合歯が失われると、その空いたスペースに向かって歯が伸びてしまうことがあります。
このように伸びてきた歯は、歯の根元が露出しやすくなり、「根面う蝕(根の虫歯)」や知覚過敏を引き起こす原因となります。
-
03噛み合わせが乱れる
歯が抜けたまま放置すると、両隣の歯が傾いたり、噛み合う相手の歯(対合歯)が伸びてきたりして、噛み合わせのバランスが乱れる可能性があります。
噛み合わせが崩れると、見た目に影響が出るだけでなく、顎まわりの筋肉のバランスも崩れ、関節に雑音が生じたり、痛みや口の開けにくさなど、顎関節症の症状が現れることもあります。
-
04咀嚼や発音がしにくくなる
歯並びが乱れ、噛み合わせのバランスが崩れると、顎の関節や周囲の筋肉にも影響を及ぼし、さまざまなお口の機能が低下してしまいます。歯を失ったままにしておくと、咀嚼(そしゃく)機能が低下し、食べ物をしっかり噛めなくなります。その結果、食べられるものが限られ、栄養の偏りが生じたり、残っている歯に過度な負担がかかってしまいます。
さらに、前歯を失うと発音にも支障が出ます。前歯の隙間から空気が漏れることで、「さ行」「た行」「な行」「ら行」などの音が不明瞭になり、会話がスムーズにできなくなることも。このような状態が続くと、会話への自信を失い、人とのコミュニケーションを避けるようになってしまうこともあります。
-
05歯科治療に影響が出る
歯を失った部分をそのままにしておくと、両隣の歯が倒れ込んでくることがあります。そうなると、後から人工の歯を入れようとしても、必要なスペースが確保できず、スムーズに治療が進まない場合があります。
このようなケースでは、傾いた歯の位置を整えるために矯正治療や、被せ物による調整が必要になることがあり、治療が複雑化し、期間も長くなる可能性があります。
-
06脳への刺激が減る
咀嚼による刺激は、五感を通じて脳に情報を伝えるうえで重要な役割を担っています。
噛むことで脳が活性化されるとされており、歯を失って咀嚼機能が低下すると、その刺激が減少してしまいます。
その結果、脳の働きにも影響を及ぼし、認知症のリスクが高まる可能性があると指摘されています。
-
07胃腸への負担が増す
歯を失うと、食べ物をしっかり噛むことが難しくなります。噛み切ったり、細かくすりつぶしたりする力が弱くなり、大きな塊のまま飲み込むことで胃腸に負担がかかり、結果として内臓の機能が低下する恐れがあります。
さらに、十分に噛めなくなることで唾液の分泌も減少し、消化機能にも悪影響を及ぼします。
唾液にはお口の中を洗い流す自浄作用がありますが、分泌量が減るとその効果が弱まり、虫歯や歯周病、さらには口臭の原因にもなりかねません。
高田歯科口腔外科医院が
選ばれる7つの理由
-

1AAIDによる治療
AAID専門医(アメリカ口腔インプラント学会専門医)は、300時間以上の研修と英語の筆記・口頭試験に合格して取得する、国際的に権威のある最難関資格です。 症例に基づいた診断・治療計画・術式を英語で説明できる高度な技術と経験が求められます。 2017年時点で取得者は世界でも少なく、日本人は34人のみ。 インプラント治療の医院選びでは、このような公的資格を持つ歯科医師かどうかを判断材料にするのも有効です。
-

2インプラント専門医による
専門的な治療AAID認定医(アメリカインプラント学会)、日本口腔インプラント学会認定、日本口腔外科学会認定医、日本再生医療学会再生医療認定医などインプラントや口腔外科にライセンスを取得しております。
詳しくはこちら
-

3豊富な実績
今までにインプラント埋入件数は1000症例以上の実績。
加えて10年間の大学病院での口腔外科の研究・診療実績により様々な難症例にも対応致します。 -

4患者様により沿った治療
当院でもカウンセリングを何よりも重視しております。
患者様一人ひとりに合った、理想の口腔内状態を叶えるお手伝いをしたいます。
もちろん術前、術後も不安な事があればいつでも相談頂けます。 -

5明瞭な総額会計 or
患者様の負担を考えた
契約が可能当院では術前の検査から術後の経過観察までトータルでのご提案を行っております。
難症例であっても基本費用に追加しで頂くことは有りません。
※オプションメニューは別途費用が発生します。
健康を手に入れたいけど経済的な不安がある方も多いと思います。
その為に、当院ではデンタルローンや分割払いなど、患者様が望む支払い方法を選んで頂けます。 -

610年保証
万が一インプラントに不具合が発生した場合のために、当院では保証制度を設けています。
豊富な経験をもとに、しっかりとした体制でインプラント治療を行わせていただきますが、患者様が更に安心して治療を受けていただけるよう努めております。
※当院によるメンテナンスに対応いただくことが条件となります -

7徹底した滅菌環境能
院内には医療施設専用の空気洗浄機を、受付・待合室、手術室に設置しており、
院内の環境にも十分配慮しております。
また、院内で使用する機材はヨーロッパ規格のクラスBオートクレーブ滅菌機や、ガス滅菌機などで滅菌処理を行い、衛生管理を徹底しています。
第三の歯
インプラント治療
インプラントとは
インプラントは、失った歯のかわりにチタン製の人工歯根を顎の骨に埋め込む治療法です。
歯根の部分がないブリッジや入れ歯と比較して、見た目の美しさが際立ちます。
周囲の歯を削る必要もないため、お口全体の健康にとっても良い影響が大きい装置です。

通常、1本の歯を失った場合は、1本のインプラントを埋め込みますが、複数本の歯を失っていたり、
入れ歯を支えたりする場合は、数本のインプラントで対応することも可能です。
オールオンフォーと呼ばれる治療法は、4本のインプラントで総入れ歯(上部構造)を支えることができます。

骨が少ないので
インプラントはできません
このように言われてしまった方でも、 インプラントをあきらめる必要はありません。 インプラントをあきらめる 必要はありません。
顎の骨の幅や奥行き、深さなどが足りなくて、インプラントは難しいと診断された方は、当院までご相談ください。
不足している骨を補う「骨造成」を実施することで、インプラントが可能となることがあります。
歯髄再生治療
“歯髄幹細胞”の力を活用した
新たな治療法
歯髄組織には、神経や血管および組織を再生させるはたらきを持った
「歯髄幹細胞」が含まれています。
歯髄再生治療は、この歯髄幹細胞の力を利用して、
失われた歯髄組織を再生させる治療法です。
噛み合わせに影響しない歯(親知らずや乳歯など)から
採取・培養加工した歯髄幹細胞を、抜髄・除菌をおこなった歯の根管内に移植し、
歯髄を再生させます。
-
step1
噛み合わせに
影響しない歯の抜歯

-
step2
抜歯した歯から
歯髄幹細胞を採取

-
step3
歯髄幹細胞を
培養して増やす

-
step4
歯髄幹細胞を
根管内に移植
メリット
- ・歯髄再生により、歯髄の機能(歯への栄養供給や細菌抵抗力、組織修復能力など)を回復させることができる
- ・抜髄により脆くなった歯の強度を高めることが可能
- ・歯が折れるリスクや抜歯リスクを低減できる
(※治療後の経過には個人差があります。)
注意点
- ・噛み合わせに影響しない歯の抜歯が必要
- ・保険適用でない
- ・(他の治療法と比較して)治療期間が長い
- ・細胞培養や組織再生がうまくいかない可能性がある
歯髄再生治療についてのご相談は、
以下の施設にお問い合わせください。
再生医療について

当院の院長は再生医療認定です。
再生医療認定医は香川県内では
2人(歯科医師位としては唯一)しかおりません。
また、当院は厚労省の再生医療認定施設となっていますので、
安心して再生医療を受けていただく事が可能です。
再生医療とは
最近では耳にすることも増えてきた再生医療とは、
現在最も注目されている医療分野の一つです。
病気やケガで失われた身体の一部を細菌を使用して再生する医療です。
病気やケガで失われた身体の一部を
細菌を使用して再生する医療です。
iPS細胞やES細胞が有名ですが、
歯の中にある歯髄に含まれている細胞も近年注目されております。
歯の中にある歯髄に含まれている細胞も
近年注目されております。

歯の中にある歯髄

ご自身の血液を利用した
再生療法(P.R.F.)
PRFとは
Platelet Rich Fibrin 多血小板フィブリン の略で血液中のフィブリンに通常の割合より3~4倍ほど多くの血小板を含んだものをPRFと言います。
血小板には細胞を作り、また細胞や組織の成長を促したり、
さらに傷の治りを早める成長因子が数多く含まれています。
当院ではフランスのシュークロン先生のレシピで遠心分離し、PRFを作成しております。
また、当院は厚労省認可の元治療実施しております。
GBR法
GBR(Guided Bone Regeneration)は、比較的狭い範囲の骨欠損に適応される骨造成法です。
骨が不足している部分に、人工骨などが含まれる骨補填材を填入します
そのままでは、骨よりも歯肉が先に再生してしまうため、「メンブレン」と呼ばれる遮断膜を設置して、数ヶ月間、経過を見ていきます。
治療が順調に進めば、歯肉が入り込むことなく、骨が再生します。


GBR(Guided Bone Regeneration)は、比較的狭い範囲の骨欠損に適応される骨造成法です。
骨が不足している部分に、人工骨などが含まれる骨補填材を填入します
そのままでは、骨よりも歯肉が先に再生してしまうため、「メンブレン」と呼ばれる遮断膜を設置して、数ヶ月間、経過を見ていきます。
治療が順調に進めば、歯肉が入り込むことなく、骨が再生します。
ソケットリフト/サイナスリフト
上の奥歯のインプラント治療で実施される骨造成法です。
上の奥歯の上方には、上顎洞(じょうがくどう)と呼ばれる空洞が存在しており、
骨量が不足していると埋入したインプラントが突き出るリスクが生じます。
そこで有用なのがソケットリフトとサイナスリフトです。
ソケットリフト

ソケットリフトは、骨量の不足が少ない場合に適応されます。
インプラントを埋め込む穴に、骨補填材を填入して、骨の再生をはかります。
3~4ヶ月後には、上顎洞底を盛り上がり、インプラントを安全に埋入できる環境が整います。
サイナスリフト

サイナスリフトは、骨量の不足が多い場合に適応されます。
インプラントを埋め込む穴ではなく、顎の側面からアプローチするのが大きな特徴です。
ソケットリフトよりも傷口が大きくなりますが、再生できる骨量も多くなります。
治癒にかかる期間は6ヶ月程度です。
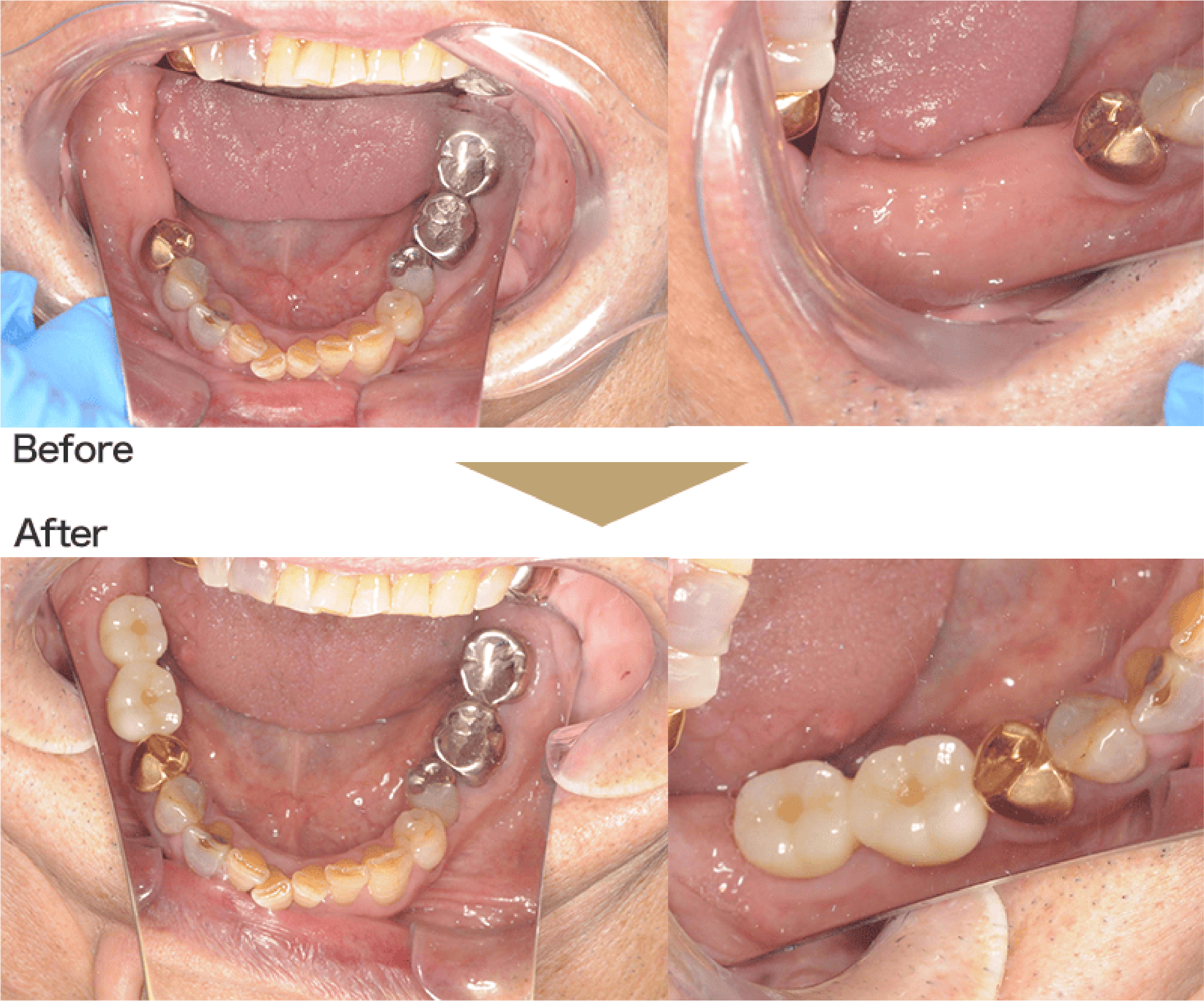
症例
-
case1

- 治療内容
- インプラント治療
- 治療費
- 539,000円(税込み)
- 主なリスク・副作用
- 手術による炎症反応で腫れが生じる可能性があります。腫れの程度は手術の範囲や 方法によって異なりますが、通常、徐々に腫れが収まっていくことが一般的です。
-
case2

- 治療内容
- インプラント治療
- 治療費
- 539,000円(税込み)
- 主なリスク・副作用
- 手術による炎症反応で腫れが生じる可能性があります。腫れの程度は手術の範囲や 方法によって異なりますが、通常、徐々に腫れが収まっていくことが一般的です。
使用機材
当院ではインプラントオペ時には専用のオペ機材を取り揃えています。
世界最高品質とも言われるstoma社のオペ器具。再生治療時に血液を分離させる医療用遠心
分離機「DUO Guattro」はドイツから直接仕入れを行っており日本でも数台しか導入
されておりません。
世界最高品質とも言われるstoma社のオペ器具。
再生治療時に血液を分離させる医療用遠心分離機
「DUO Guattro」はドイツから直接仕入れを
行っており日本でも数台しか導入されておりません。
インプラントブランド
当院ではインプラントにおける世界トップメーカーの
Straumann社製のインプラント体を使用しております。


-
1高い生存率と長期的な信頼性

ストローマンのインプラントは、10年間の生存率が98.8%と非常に高く、長期的な使用においても信頼性が証明されています。
-
2世界的な実績と信頼

ストローマンのインプラントは、世界70カ国以上で使用され、累計で1,400万本以上が患者の治療に使用されています。
その品質と信頼性から、世界中の歯科医師や患者から高い評価を受けています。 -
3革新性と技術力の高さ

ストローマンは、スイスのビジネス誌「BILANZ」と「PME」による2025年のイノベーションランキングで、「化学・製薬・医療技術」部門で第1位、総合で第3位に選ばれました。
これは、デジタル歯科、材料革新、治療ソリューションにおける先進的な取り組みが評価された結果です 。
治療の流れ
インプラント手術までの流れ
- カウンセリング問 診
- 検査
- カウンセリング検査結果・
治療の流れ・
インプラントについて検査結果・治療の流れ
インプラントについて - 歯周病・むし歯治療
- インプラント
カウンセリング手術の流れやお見積り - インプラント検査症状によっては何度か
歯周病・むし歯の治療が
必要な場合があります - インプラント診断
カウンセリングインプラント検査
結果
について - ブラッシングチェック手術に向けて
お口の中の菌
を取り除きます※一定の基準をクリアするまで
回数が必要な場合があります※一定の基準をクリアするまで
回数が必要な場合があります - インプラント
一次手術約2~4時間 - 消 毒
- インプラント二次手術
- 必要に応じて消毒・メンテナンス・他部位の治療
お支払方法・デンタルローン
治療費のお支払い方法
当院では、以下のお支払いが可能です
- 現金払い、お振込
- 各種クレジットカード

- デンタルローン(審査あり)
インプラント治療例1
※デンタルローンを利用
インプラント前歯2本治療例
治療費840,000円を48回払いでお支払いした場合
【頭金】 40,000円
【残金】 800,000円 + 【手数料】 172,800円 = 972,800円
(初回お支払い23,400円、2回目以降20,200円 × 47回のデンタルローン払い)
総計:1,012,800円

よくある質問
Q インプラント治療とはどのような治療ですか?
Q インプラントに適しているのはどんな人ですか?
Q インプラントの手術に痛みはありますか?
しかし、麻酔効果は一定時間しか持続しませんので、手術後には鎮痛薬(痛み止め)を服用していただきます。術後の痛みは、症例によって異なりますし、痛みの感じ方の個人差もありますが、通常の場合、鎮痛薬を数回服用する程度で、痛みは次第に治まる筈です。 術後に長期間痛みが継続する場合は、担当医に問い合わせてください。
日本インプラント学会









